意識レベル E1v1m1
痙攣を起こした患者さんのアセスメントと対応 ナース専科
頭部外傷
2

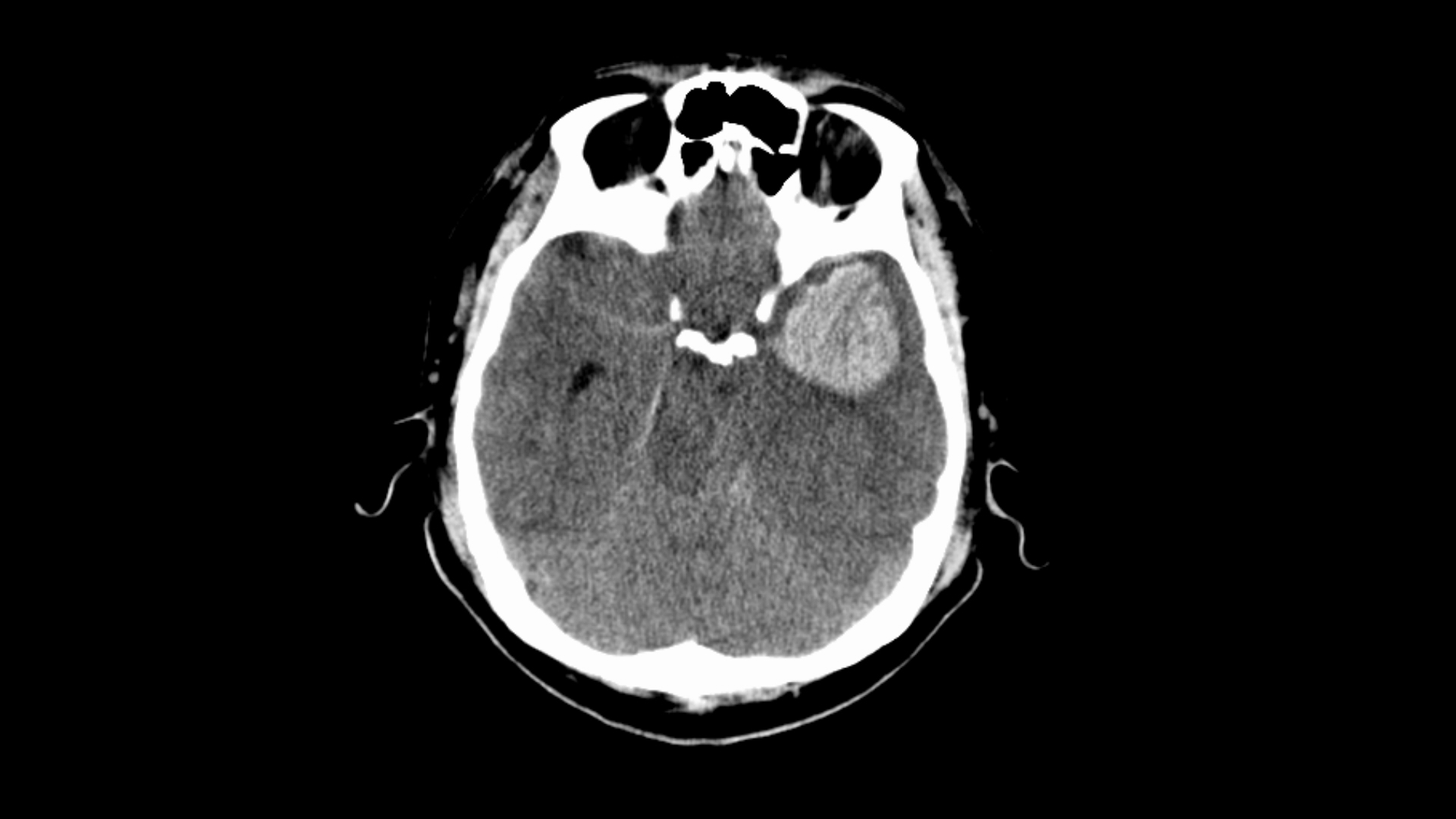
痙攣で搬送された40歳代男性 実践 画像診断q A 羊土社 レジデントノート 羊土社

プレガバリン過量服薬に対して血液透析を施行した1例 A Case In Which Hemodialysis Was Used Successfully To Treat Pregabalin Overdose In A Suicide Attempt Naoto Kasahara 2020 Nihon Kyukyu Igakukai Zasshi Journal Of Japanese Association For Acute
グラスゴー昏睡尺度 Gcsスコア 意識レベル をダウンロード

Gcs グラスゴー コーマ スケール 知っておきたい臨床で使う指標 2 看護roo カンゴルー

小児の意識レベル評価 Gcs
Ema症例28 5月症例 78歳女性 喘息と肺線維症の既往がある呼吸苦 Em Alliance
![]()
日齢26女児 哺乳不良 意識障害 Cadetto Jp

アモキサピン中毒による痙攣重積発作により重篤なアシドーシス Ph 6 499 を呈するも 救命できた1症例 A Survival Case Of Amoxapine Overdose Presented Severe Acidosis Ph 6 499 Due To Status Epilepticus Takeo Matsuyoshi 2019 Nihon Kyukyu Igakukai
You have just read the article entitled 意識レベル E1v1m1. You can also bookmark this page with the URL : https://abbiet3lu.blogspot.com/2023/01/e1v1m1.html
0 Response to "意識レベル E1v1m1"
Post a Comment